Élastiques

Y a t’il un “moteur” dans votre voiture ?

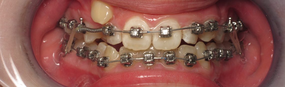
Les élastiques inter-maxillaires :
Et il existe une variété d’élastiques différents adaptés à chaque étape de chaque traitement.
Cela ne viendrait à l’esprit de personne de ne pas prendre un médicament essentiel à sa guérison,
ou de le prendre de manière fantaisiste. Pareil pour les élastiques orthodontiques !
La mise en place :
La position exacte, le modèle d’élastique choisi, et le changement à intervalles réguliers sont essentiels.
Nous encourageons vivement les patients ou leurs parents à réaliser une photographie de type “selfie” en plus du schéma afin de sécuriser le respect du schéma.
En respectant sa prescription, le patient relie ses deux mâchoires en créant des forces très modérées qui sont essentielles pour le traitement, et permettent :
- de diriger une ou plusieurs dents le long de l’appareil sans effet secondaire indésirable.
- de déplacer une arcade entière vis-à-vis de l’autre.
- de rechercher un mouvement vertical d’une ou plusieurs dents.
- d’obtenir un emboitement fin, fonctionnel, et confortable entre les arcades dentaires.

La phase d’habituation :
Les quelques premières séances seront plutôt difficiles, vous serez relativement mal-habile, et surtout vous doserez votre effort de manière à y aller avec progressivité… sous peine d’être dégouté(e) à jamais. Grâce à cette stratégie vous atteindrez vos objectifs, avec plaisir et une légitime fierté.
En matière de port d’élastiques orthodontiques, ou d’autre mécanique associée, la même “sagesse” s’impose.
A vous de moduler vos efforts pour “monter en charge” aussi vite que possible, tout en vous respectant.
En pratique voici quelques lignes guides utiles :
- respecter immédiatement et scrupuleusement les règles de durée de port (habituellement minimum 23h/24).
- si le praticien a proposé une prescription modulable, commencer par le minimum pour s’habituer.
- augmenter d’abord la nuit, c’est plus facile.
- lorsqu’on est en “vitesse de croisière” avec le nombre d’élastiques minimal pendant 23h/24, s’accorder des “extras” lorsqu’on a “la pêche”: toute progression au sein de la prescription vous rapproche avec certitude de la fin du traitement.

Les élastiques au quotidien :
Passée l’étape de mise en place, c’est au jour le jour qu’il s’agit de maintenir son effort. Nous savons tous que la vie nous réserve son lot de bons et moins bons moments, ses petites surprises positives ou négatives, … Qu’il est légitime d’avoir parfois un peu moins la forme.
Il importe d’être particulièrement vigilant à ne pas diminuer le nombre d’heures de port du dispositif.
En effet, porter de manière discontinue ne permet pas de progression antéro-postérieure et tout se passe hélas comme si on n’avait pas porté du tout ses élastiques! Pire, il faut un certain temps (plusieurs heures ou jours) avant d’obtenir à nouveau une “vitesse de croisière” des mouvements souhaités. Impossible de « rattraper le temps perdu », qui sera de toute façon supérieur à la durée de port non optimal.
En pratique, porter ses élastiques seulement la nuit, ne fût-ce que 2-3 jours, cela revient à ne rien faire du tout pendant ce temps, ni même les 2 jours suivants puisqu’il faut “redémarrer” le mouvement interrompu.
Au contraire, tout élastique ajouté dans le cadre de la modulation permise de la prescription minimale va compter directement puisque le seuil fatidique est déjà passé.
Pour gérer au mieux une prescription respectueuse et efficace, la bonne attitude consiste donc à économiser ses forces avec intelligence lorsque c’est difficile pour nous (donc respecter la prescription minimale), et à en mettre un coup quand on a plus de possibilités (moduler vers plus d’élastiques si proposé par l’orthodontiste).

Mise en garde
Il y a donc lieu de les porter 23h/24, sauf dérogation expresse signalée par l’orthodontiste. ( Tout le temps sauf lors des repas principaux ) En orthodontie à basses forces (Damon, Insignia, Aligneurs by Orthoteam), les élastiques délivrent eux-mêmes très peu de force, de sorte qu’ils sont très confortables.
Plus rapidement ils sont mis en œuvre au sein du traitement, plus ils sont doux et néanmoins très efficaces.
La prescription évoluera en termes de type d’élastique ainsi que de localisation en fonction des étapes du traitement.
Ils sont de votre responsabilité et sous votre contrôle. Connaître les règles du jeu, c’est déjà un grand pas vers une excellente manière de jouer,
et de gagner(des résultats, de la fonction, de l’esthétique, du temps, …)